
Thumb Sucking: Break the Unhealthy Dental Habit
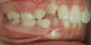
Thumb sucking is a common habit among infants and young children. While it is generally harmless in the early years, prolonged thumb sucking can lead to dental and developmental issues. Addressing this habit before it affects your child’s oral health and overall development is essential. In this article, we will explore the impact of thumb-sucking on dental health and provide effective strategies to help your child break the habit. Understanding Thumb Sucking Thumb sucking is a natural reflex for infants, providing comfort and security. Most children stop on their own between ages two and four. However, if the habit continues beyond this age, it can lead to various dental problems. Why Children Suck Their Thumbs Children suck their thumbs for